“알츠하이머와는 어떤 점이 다르죠?”
“관리 방법이나 진행 속도도 다르다고 들었어요.”
치매는 하나의 병명이 아니라 증후군입니다. 그중에서도 알츠하이머와 혈관성 치매는 가장 흔한 두 유형으로, 증상은 비슷해 보이지만 원인과 치료 방향은 확연히 다릅니다. 각각의 차이를 명확히 알면 진단과 대응 방향을 올바르게 설정할 수 있습니다. 이번 글에서는 혈관성 치매와 알츠하이머의 핵심적인 차이점과 각각의 특징을 정리해드립니다.


목차
발생 원인부터 다릅니다
치매의 형태는 뇌에서 어떤 변화가 일어났는지에 따라 나뉩니다. 혈관성 치매와 알츠하이머는 발생 기전 자체가 다르기 때문에 치료 목표도 달라집니다.
• 혈관성 치매는 뇌혈관이 막히거나 터지면서 뇌세포가 손상되어 발생
• 알츠하이머는 베타아밀로이드 단백질이 뇌에 쌓이면서 뇌세포가 서서히 죽는 질환
• 혈관성 치매는 뇌졸중과 관련 있는 경우가 많음
• 알츠하이머는 명확한 혈관 이상 없이 서서히 기억력이 저하됨


즉, 혈관성 치매는 혈류의 문제, 알츠하이머는 신경세포의 퇴화라는 차이가 있습니다.
증상은 유사하지만, 발현 양상이 다릅니다
두 치매 모두 인지기능 저하가 공통점이지만, 나타나는 속도와 증상의 패턴에서 큰 차이가 있습니다.
• 혈관성 치매는 증상이 갑자기 시작되고, 단계별로 악화됨
• 알츠하이머는 매우 서서히 진행되며, 초기에는 기억력 감퇴만 관찰됨
• 혈관성 치매는 감정 기복과 집중력 저하가 뚜렷
• 알츠하이머는 공간지각력 저하와 시간 개념 상실이 먼저 나타남




혈관성은 계단식 악화, 알츠하이머는 점진적 악화라는 표현이 자주 사용됩니다.
진단 방법도 차이가 있습니다
MRI나 CT 같은 영상검사는 기본이지만, 두 질환의 진단에서는 검사의 해석과 병력 청취 방식도 달라집니다.
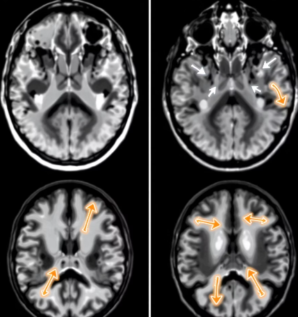
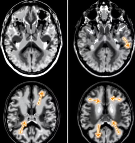
• 혈관성 치매는 뇌경색 흔적이나 백질 변화가 영상에서 나타남
• 알츠하이머는 조기에는 영상에 큰 변화가 없을 수 있음
• 혈관성 치매는 고혈압, 당뇨, 심혈관 질환 병력 여부가 중요
• 알츠하이머는 유전력이나 우울증 병력과의 연관이 더 강조됨


따라서 진단 시에는 영상자료뿐 아니라 환자의 병력과 증상 경과를 함께 고려해야 합니다.
치료와 관리 방식의 방향이 다릅니다
혈관성 치매와 알츠하이머 모두 완치는 어렵지만, 진행 속도와 증상 악화를 줄이기 위한 관리 방향은 다르게 설정됩니다.
• 혈관성 치매는 혈압, 혈당, 콜레스테롤 등 위험요소 관리가 핵심
• 알츠하이머는 뇌 기능 유지와 항치매 약물 복용이 중심
• 혈관성은 재발 방지를 위한 생활습관 교정이 중요
• 알츠하이머는 인지자극 훈련과 정서적 지지가 중요


혈관성 치매는 혈관질환과 같은 방식으로 관리, 알츠하이머는 인지기능 보호 중심의 관리가 필요합니다.
예후와 가족의 역할도 다릅니다
두 치매 모두 장기적 관리가 필요하지만, 환자의 변화를 이해하는 방식도 달라야 가족의 부담을 줄일 수 있습니다.
• 혈관성 치매는 감정 기복과 우울 증상이 동반되어 가족의 이해가 중요
• 알츠하이머는 인식 능력 저하로 인한 반복 행동이나 망상에 대한 대응이 중요
• 혈관성은 회복기 이후 상태가 안정되기도 함
• 알츠하이머는 점차 모든 일상 능력을 상실하게 됨


병의 진행 양상을 알고 접근하면 환자도 보호자도 덜 지치며, 장기적 관리가 가능해집니다.
'건강 & 피트니스' 카테고리의 다른 글
| 셀레늄 효능, 면역력뿐만 아니라 노화 예방도 (0) | 2025.05.06 |
|---|---|
| 쏘팔메토 전립선 건강에 진짜 도움 될까? (0) | 2025.05.05 |
| 갑상선 결절, 꼭 조직검사해야 할까? (0) | 2025.05.05 |
| 이름도 생소한 루이소체 치매, 일반 치매와 다른 점은? (0) | 2025.05.05 |
| 관절염에 좋은 영양제 TOP5, 어떤 걸 골라야 할까? (0) | 2025.05.04 |
| 류마티스관절염 초기증상, 놓치면 손 쓸 수 없어요 (0) | 2025.05.04 |
| 손가락 마디가 욱신거린다면? 혹시 관절염 신호일 수 있어요. (0) | 2025.05.03 |
| 다이어트보조제, 어떤 성분이 효과적이고 어떤 조합은 피해야 할까요? (0) | 2025.05.03 |